건양대병원, 면역항암 및 표적치료로 전이암까지 소멸
“마지막 기회라 생각했는데 기적 같은 일이 벌어져 아직도 꿈만 같아요”
건양대병원(의료원장 최원준) 혈액종양내과 최종권 교수가 1개월 시한부 선고를 받은 러시아 말기 암 환자에게 면역항암치료와 표적치료를 통해 전이된 암까지 완전히 소멸시켰다고 21일 밝혔다.
러시아 국적의 자이로바 씨(48)는 1년 전 자국에서 폐암진단을 받고 치료를 위해 의료선진국으로 알려진 한국을 찾았다.
서울에 있는 유명 대형병원에서 검사를 받은 결과 암이 급속도로 진행돼 폐뿐 아니라 뇌까지 전이돼 길어야 1개월 정도밖에 살 수 없다는 절망적인 말을 들었다.
자이로바 씨는 인터넷 검색으로 건양대병원에 러시아 환자를 담당하는 직원이 있다는 것을 확인하고 가능한 한 빨리 진료를 받을 수 있도록 도움을 요청했다.
자이로바 씨는 러시아 코디네이터인 이리나 씨를 통해 대전으로 내려와 건양대병원 혈액종양내과 최종권 교수를 만났다.
최 교수는 환자의 여러 가지 검사 영상을 확인한 결과 10여 개가 넘는 암 덩어리들이 뇌 속 군데군데를 차지하고 있어, 서울에서 치료를 포기했다는 말을 실감할 수 있었다.
하지만 최 교수는 환자에게 삶의 희망을 놓지 말고 적극적으로 치료할 것을 권유했다. 말기 암 환자라도 치료를 포기하지 않는다면 흔치는 않지만 기적 같은 일이 일어나는 경우를 임상경험을 통해 봤기 때문이다.
최 교수는 우선 환자의 면역체계를 활성화시켜 암세포를 사멸시키는 ‘면역항암요법’과 암세포만을 정밀타격하는 ‘표적항암치료’를 병행하는 치료를 시행했다.
결과는 놀라웠다. 암세포가 치료에 반응을 보이기 시작하더니 뇌와 폐에 있던 종양들이 약 10개월에 걸쳐 모두 사라졌다.
1개월 시한부 선고를 받은 말기 암환자가 거의 완치수준의 기적이 일어난 것이다.
자이로바씨는 치료를 마친 후 최근 러시아로 돌아갔지만 최 교수는 자이로바씨를 담당하는 러시아 현지 의사와 소통하며 지속적으로 환자관리를 해주고 있다.
자이로바씨는 “절망적인 시한부 삶에서 벗어나 정기적인 검사를 받으며 건강을 챙기고 있다”라며 “대전 의료진들의 뛰어난 의술과 친절함을 제 주변 사람들에게 널리 알리고 있다”고 말했다.
건양대병원 최종권 교수는 “말기 암 환자에게 완치를 기대하기란 결코 쉬운 일이 아니다”며 “의료진은 최적의 치료법을 찾아보고 환자 역시 삶에 대한 강한 의지가 있다면 좋은 결과를 가져올 수도 있다”라고 말했다.
![]() |
| ▲ 건양대병원 혈액종양내과 최종권 교수. |
건양대병원(의료원장 최원준) 혈액종양내과 최종권 교수가 1개월 시한부 선고를 받은 러시아 말기 암 환자에게 면역항암치료와 표적치료를 통해 전이된 암까지 완전히 소멸시켰다고 21일 밝혔다.
러시아 국적의 자이로바 씨(48)는 1년 전 자국에서 폐암진단을 받고 치료를 위해 의료선진국으로 알려진 한국을 찾았다.
서울에 있는 유명 대형병원에서 검사를 받은 결과 암이 급속도로 진행돼 폐뿐 아니라 뇌까지 전이돼 길어야 1개월 정도밖에 살 수 없다는 절망적인 말을 들었다.
자이로바 씨는 인터넷 검색으로 건양대병원에 러시아 환자를 담당하는 직원이 있다는 것을 확인하고 가능한 한 빨리 진료를 받을 수 있도록 도움을 요청했다.
자이로바 씨는 러시아 코디네이터인 이리나 씨를 통해 대전으로 내려와 건양대병원 혈액종양내과 최종권 교수를 만났다.
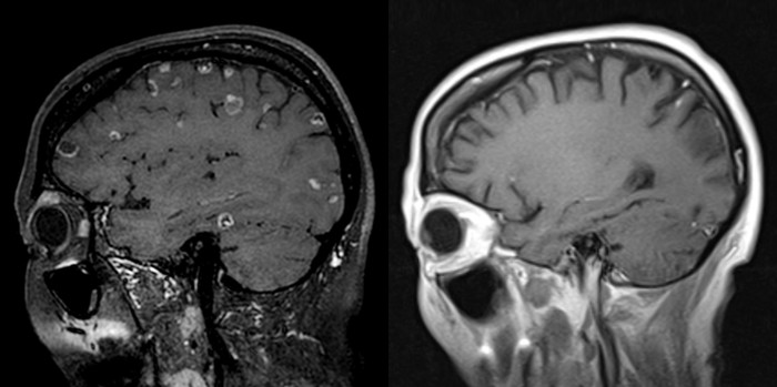
최 교수는 환자의 여러 가지 검사 영상을 확인한 결과 10여 개가 넘는 암 덩어리들이 뇌 속 군데군데를 차지하고 있어, 서울에서 치료를 포기했다는 말을 실감할 수 있었다.
하지만 최 교수는 환자에게 삶의 희망을 놓지 말고 적극적으로 치료할 것을 권유했다. 말기 암 환자라도 치료를 포기하지 않는다면 흔치는 않지만 기적 같은 일이 일어나는 경우를 임상경험을 통해 봤기 때문이다.
![]() |
| ▲ 명역항암치료 및 표적치료 후 뇌로 전이된 암세포들이 모두 소멸됐다. |
결과는 놀라웠다. 암세포가 치료에 반응을 보이기 시작하더니 뇌와 폐에 있던 종양들이 약 10개월에 걸쳐 모두 사라졌다.
1개월 시한부 선고를 받은 말기 암환자가 거의 완치수준의 기적이 일어난 것이다.
자이로바씨는 치료를 마친 후 최근 러시아로 돌아갔지만 최 교수는 자이로바씨를 담당하는 러시아 현지 의사와 소통하며 지속적으로 환자관리를 해주고 있다.
자이로바씨는 “절망적인 시한부 삶에서 벗어나 정기적인 검사를 받으며 건강을 챙기고 있다”라며 “대전 의료진들의 뛰어난 의술과 친절함을 제 주변 사람들에게 널리 알리고 있다”고 말했다.
건양대병원 최종권 교수는 “말기 암 환자에게 완치를 기대하기란 결코 쉬운 일이 아니다”며 “의료진은 최적의 치료법을 찾아보고 환자 역시 삶에 대한 강한 의지가 있다면 좋은 결과를 가져올 수도 있다”라고 말했다.
[저작권자ⓒ 프레스뉴스. 무단전재-재배포 금지]
- 정광태 다른기사보기
댓글 0

문화
제주도, 감귤 품종별 교육 “맞춤형 기술로 경쟁력 강화”
프레스뉴스 / 26.02.11

경제일반
김윤덕 국토교통부장관, "일산 정비사업, 주민이 체감하는 속도로 앞당길 ...
프레스뉴스 / 26.02.11

경제일반
중소벤처기업부, 디지털 전환 과정에서 겪는 소상공인의 어려움을 듣다 '스마...
프레스뉴스 / 26.02.11

경제일반
고용노동부, 명절 전 휴가, 아이 등원 후 출근, 이 회사 어디야?
프레스뉴스 / 26.02.11
























































